여드름 색소침착과 흉터 관리 방법 – 뾰루지는 없어졌는데 왜 자국은 안 없어질까?
- 카테고리 없음
- 2025. 5. 19. 15:54
여드름 색소침착과 흉터 관리 방법 – 뾰루지는 없어졌는데 왜 자국은 안 없어질까?
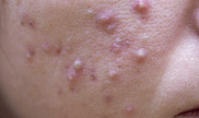
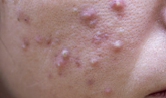
여드름은 사라졌는데, 거울을 보면 여전히 남아있는 붉은 자국, 갈색 점, 패인 흉터...
피부는 말끔한데 얼굴에 얼룩이 남아 있는 느낌, 공감하시죠?
특히 여성이라면 파운데이션 없이 외출이 꺼려지고, 남성분들도 수염 부위에 자국이 겹쳐 피부결이 거칠어 보이는 경험 많으실 거예요.
사실 여드름 자체보다도 더 오래 남고 관리가 까다로운 게 바로 색소침착과 흉터입니다.
이 글에서는 **여드름 후유증의 정확한 구분(색소침착 vs 흉터)**부터, 자극 줄이는 생활습관, 홈케어 제품, 병원 치료법, 재발 방지까지 5천자 이상으로 꼼꼼하게 정리해드릴게요.
1. 여드름 자국, 정확히 말하면 두 가지가 있습니다



✅ 색소침착(Post-Inflammatory Hyperpigmentation)
- 붉은 자국 또는 갈색 점처럼 남는 흔적
- 여드름이 터지거나 강한 염증 후 멜라닌 색소가 과다 생성된 상태
- 시간이 지나면서 자연히 흐려질 수 있음
✅ 흉터(Atrophic scar)



- 피부가 함몰되거나 튀어나오는 형태의 자국
- 염증이 깊은 진피층까지 침범하면서 콜라겐이 손상된 결과
- 저절로 없어지지 않으며 치료가 필요
👉 정리하면,
- 색소침착은 피부색의 문제,
- 흉터는 피부 구조 자체의 손상입니다.
2. 색소침착 관리 – 붉은기, 갈색 자국을 옅게 하는 루틴



✔ 자외선 차단이 최우선!
- 햇빛은 색소침착을 ‘고착화’시키는 가장 큰 원인
- SPF 30 이상, PA++ 이상의 선크림을 매일 사용
- 특히 붉은 자국이 있는 상태에서 햇빛 노출 → 갈색 자국으로 바뀌는 경우 많음
✔ 피부 자극 최소화
- 각질 제거, 클렌징 브러시, 필링 패드 사용 최소화
- 짜거나 긁는 행동은 색소침착을 더 짙게 만들어요
✔ 미백 성분 활용
성분 기능
| 나이아신아마이드 | 멜라닌 이동 억제 → 갈색 자국 완화 |
| 알부틴 | 멜라닌 생성 억제 |
| 비타민C 유도체 | 항산화 + 색소침착 개선 |
| 아젤라산 | 여드름 후 색소침착에 효과적 |
💡 한 가지 성분을 꾸준히 2~3개월 이상 사용해야 효과가 보입니다.
3. 흉터 관리 – 꺼진 자국은 집에서 절대 해결되지 않아요
✔ 홈케어로는 한계가 있어요
여드름 흉터는 진피층 손상으로 생긴 ‘피부의 구조적 문제’라
기초화장품으로는 예방만 가능, 이미 생긴 흉터에는 병원 시술이 필요해요.
✔ 피부과 치료 옵션 비교
시술명 원리 대상 장점
| 프락셔널 레이저 (eCO2 등) | 미세한 열자극으로 콜라겐 재생 유도 | 깊은 흉터, 박스형 흉터 | 다운타임 있지만 효과 확실 |
| MTS (더마롤러/스탬프) | 바늘로 상처 후 재생 유도 | 얕은 흉터, 피부결 개선 | 회복 빠름, 비용 낮음 |
| PRP (자가혈 성장인자 주사) | 혈소판 추출해 피부 재생 촉진 | 여드름 후 붉은 자국, 얕은 흉터 | 자연 성분, 부작용 적음 |
| 써마지/인모드 | 고주파로 진피층 자극 | 탄력 저하 + 흉터 | 리프팅+재생 동시에 가능 |
📌 흉터의 깊이와 형태에 따라 맞춤 시술이 필요하므로, 진단을 먼저 받는 게 중요합니다.
4. 붉은 자국 vs 갈색 자국 – 어떻게 구분하고 관리할까?
구분 붉은 자국 (홍반) 갈색 자국 (색소침착)
| 발생 시점 | 여드름 직후~수일 | 여드름 이후 수주~수개월 |
| 원인 | 혈관 확장, 미세 염증 | 멜라닌 과다 생성 |
| 관리 키워드 | 진정 & 항염 | 미백 & 각질 케어 |
| 추천 성분 | 병풀, 알란토인, 판테놀 | 나이아신아마이드, 알부틴, 비타민C |
| 병원 치료 | IPL (혈관 레이저) | 레이저 토닝, 피코레이저 등 |
🙋♀️ 두 자국이 동시에 존재하는 경우도 많으니, 자극 없이 진정 → 미백 순으로 관리하세요.
5. 흉터로 진행되지 않게 하기 위한 여드름 관리법
- 손대지 않기: 짜는 순간 진피까지 손상돼 흉터 위험 급상승
- 빠른 진정: 염증 여드름은 최대한 빨리 항염 관리
- 수분 공급 유지: 건조한 피부는 재생력 저하로 흉터 가능성 증가
- 자가 압출 금지: 특히 고름 여드름은 병원 압출이 안전
- 세안 후 피부 보습 필수: 트러블 관리 후 재생에 도움



6. 여드름 흉터 관리 Q&A
Q. 패인 흉터는 시간이 지나면 저절로 차오르나요?
A. 안타깝지만 아니요. 진피 구조가 무너졌기 때문에 시술 없이는 회복이 어렵습니다.
Q. 색소침착은 아예 사라질 수 있나요?
A. 피부 재생 속도와 관리에 따라 수개월~1년 이내에 흐려질 수는 있지만, 자외선 차단을 소홀히 하면 더 짙어질 수 있어요.
Q. 미백크림을 하루에 몇 번 발라야 하나요?
A. 하루 1~2회, 세안 후 즉시 도포가 가장 효과적입니다. 반드시 자외선 차단제와 함께 써야 해요.
7. 여드름 후유증 재발 방지 루틴
- 수분+진정+자외선 차단 3단계 루틴은 매일
- 주 1회 미세각질 정돈 (필링 패드 or AHA, BHA)
- 과도한 스크럽, 알코올 토너 피하기
- 슬리핑팩, 재생 크림 활용으로 야간 집중 관리
- 여드름 짜기 전보다 짜고 난 후 관리가 더 중요!