뇌출혈 전조증상 7가지 및 예방법 (2024)
- 건강 기초상식
- 2024. 7. 31. 15:58
뇌출혈 전조증상 7가지 & 예방법 (2024): 침묵의 살인자 뇌출혈, 미리 알고 예방하세요!
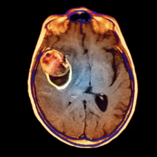
안녕하세요, 여러분의 건강을 소중히 생각하는 건강 지킴이입니다. 😊 오늘은 '침묵의 살인자'라고 불리는 뇌출혈에 대해 알아보려고 합니다. 뇌출혈은 뇌혈관이 터져 뇌 조직에 혈액이 유출되는 질환으로, 심각한 후유증을 남기거나 생명을 위협할 수 있습니다.
하지만 뇌출혈은 전조증상을 미리 알고 대처하면 예방하거나 조기에 발견하여 치료할 수 있습니다. 오늘은 뇌출혈 전조증상 7가지와 함께 예방법, 응급처치 방법까지 자세히 알려드릴게요.
1. 뇌출혈, 왜 발생하나요? 🩸



뇌출혈은 뇌혈관이 터져 뇌 조직에 혈액이 유출되는 질환입니다. 뇌출혈의 주요 원인은 다음과 같습니다.
- 고혈압: 고혈압은 뇌혈관 벽을 약하게 만들어 뇌출혈 발생 위험을 높입니다.
- 동맥류: 뇌혈관 벽이 약해져 풍선처럼 부풀어 오르는 질환으로, 파열 시 뇌출혈을 유발할 수 있습니다.
- 뇌혈관 기형: 선천적으로 뇌혈관 형태에 이상이 있는 경우 뇌출혈 발생 위험이 높아집니다.
- 혈액 응고 장애: 혈액 응고에 문제가 있으면 뇌출혈 발생 위험이 높아집니다.
- 뇌종양: 뇌종양이 뇌혈관을 압박하거나 파열시켜 뇌출혈을 유발할 수 있습니다.
- 두부 외상: 머리에 강한 충격을 받으면 뇌혈관이 손상되어 뇌출혈이 발생할 수 있습니다.
2. 뇌출혈 전조증상 7가지, 혹시 나도? ⚠️



뇌출혈은 갑자기 발생하는 경우가 많지만, 다음과 같은 전조증상이 나타날 수 있습니다.
- 갑작스러운 심한 두통: 망치로 머리를 맞은 듯한 극심한 두통이 갑자기 발생합니다.
- 구토, 메스꺼움: 두통과 함께 구토나 메스꺼움이 동반될 수 있습니다.
- 어지럼증, 균형 감각 상실: 갑자기 어지럽거나 균형을 잡기 어려워질 수 있습니다.
- 시야 장애: 한쪽 또는 양쪽 눈이 흐릿하게 보이거나 물체가 두 개로 보이는 복시 현상이 나타날 수 있습니다.
- 언어 장애: 말이 어눌해지거나 발음이 부정확해질 수 있으며, 다른 사람의 말을 이해하기 어려울 수 있습니다.
- 편측마비: 팔, 다리 등 신체 한쪽 부분에 힘이 빠지거나 마비 증상이 나타날 수 있습니다.
- 의식 저하, 경련: 심한 경우 의식을 잃거나 경련을 일으킬 수 있습니다.
3. 뇌출혈, 응급처치 방법은? 🚨



뇌출혈 의심 증상이 나타나면 즉시 119에 신고하고 응급실로 이송해야 합니다. 환자를 편안한 자세로 눕히고, 머리를 약간 높여주는 것이 좋습니다. 구토를 할 경우 기도가 막히지 않도록 고개를 옆으로 돌려주세요.
4. 뇌출혈, 예방할 수 있을까요? 🛡️



뇌출혈은 완벽하게 예방할 수는 없지만, 다음과 같은 방법을 통해 발생 위험을 줄일 수 있습니다.
- 혈압 관리: 고혈압은 뇌출혈의 가장 큰 위험 요인입니다. 혈압을 정상 범위로 유지하기 위해 규칙적인 운동, 저염 식단, 금연, 절주 등 건강한 생활 습관을 실천해야 합니다.
- 건강 검진: 정기적인 건강 검진을 통해 뇌혈관 질환 위험 요인을 조기에 발견하고 관리하는 것이 중요합니다.
- 뇌졸중 예방 접종: 뇌졸중 예방 접종은 뇌졸중 발생 위험을 감소시키는 데 도움이 됩니다.
- 금연, 절주: 흡연과 과도한 음주는 뇌혈관 건강을 해치는 주요 원인입니다.
- 규칙적인 운동: 유산소 운동은 혈액순환을 촉진하고 혈압을 낮춰 뇌출혈 예방에 도움이 됩니다.
- 스트레스 관리: 스트레스는 혈압을 높이고 혈관 건강을 악화시킬 수 있으므로, 스트레스를 적절하게 관리하는 것이 중요합니다.
5. 뇌출혈, 조기 발견이 중요합니다! ⏰
뇌출혈은 조기에 발견하고 치료를 시작할수록 예후가 좋습니다. 따라서 뇌출혈 전조증상을 미리 알아두고, 증상이 나타나면 즉시 병원을 방문하여 정확한 진단을 받는 것이 중요합니다.
6. 뇌출혈, 자주 묻는 질문 ❓



Q: 뇌출혈은 유전되나요?
A: 일부 뇌출혈은 유전적 요인과 관련이 있을 수 있지만, 대부분의 뇌출혈은 후천적인 요인에 의해 발생합니다.
Q: 뇌출혈은 완치될 수 있나요?
A: 뇌출혈의 예후는 출혈 부위, 출혈량, 환자의 상태 등에 따라 다릅니다. 조기에 발견하고 적절한 치료를 받으면 후유증을 최소화하고 일상생활로 복귀할 수 있습니다.
7. 건강한 뇌, 행복한 삶! 😊
뇌출혈은 심각한 질환이지만, 예방과 조기 발견을 통해 충분히 예방하고 치료할 수 있습니다. 건강한 생활 습관을 유지하고 정기적인 검진을 통해 뇌 건강을 지키고 행복한 삶을 누리세요! 😊