복부ct로 알 수 있는 질병 및 복부 CT를 하는 이유 알아보기
- 카테고리 없음
- 2023. 11. 3. 13:26
복부ct로 알 수 있는 질병 및 복부 CT를 하는 이유 등 복부 CT에 관한 정보 알아보도록 하겠습니다.
CT(Computed Tomography)는 X선을 사용하여 3차원 이미지를 생성하는 의료 영상 검사 기술 중 하나입니다. CT는 신체의 다양한 부위를 정확하게 촬영할 수 있어서 다양한 진단에 이용됩니다. 특히 뇌, 흉부, 복부 등의 내부 구조를 세밀하게 살펴볼 수 있어서 진단과 치료 계획에 큰 도움을 줍니다.



복부 CT 정보
복부 CT를 하는 이유
복부 CT는 다양한 증상이나 질환의 원인을 파악하기 위해 사용됩니다. 예를 들어 복부 통증, 구토, 설사, 변비 등의 증상이 있는 경우, 복부 CT를 통해 내부 구조를 확인하여 복부 내장기의 이상이나 종양 등을 발견할 수 있습니다. 또한, 간, 췌장, 신장, 방광 등의 내부 구조를 확인하여 이상이 있는지 파악할 수 있습니다.
복부 CT는 또한 수술 전 검사로도 사용됩니다. 수술 전에 복부 CT를 통해 복부 내부의 구조와 이상을 파악하고, 수술 전략을 수립하는 데 매우 중요합니다. 또한, 수술 후 검사로도 사용되어 수술의 성공 여부를 확인하고 합병증의 유무를 파악하는 데 활용됩니다.
하지만 복부 CT는 방사선을 사용하기 때문에, 과도한 검사를 반복하면 건강에 해를 끼칠 수 있습니다. 따라서 의료진이 충분한 판단을 통해 적정한 검사를 시행하고, 방사선량을 최소화하는 노력이 필요합니다.
복부 CT로 알 수 있는 질병



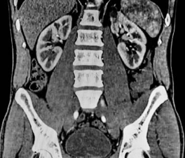
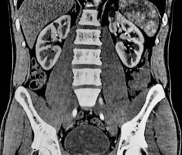
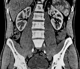
복부 CT는 복부 내부의 장기와 혈관, 림프절 등을 자세하게 촬영하여 그림으로 나타내는 영상진단 방법 중 하나입니다. 복부 CT를 통해 확인 가능한 질병은 매우 다양합니다.
- 담낭, 췌장, 간, 비장, 신장 등의 종양: 복부 CT는 위장관 종양 및 다른 내장의 종양을 확인하는 데 유용합니다. 담낭, 췌장, 간, 비장, 신장 등 다양한 내장의 종양이 존재할 수 있으며, 복부 CT를 통해 종양의 위치와 크기를 파악할 수 있습니다.
- 담낭염: 복부 CT는 담낭의 염증을 확인하는 데 유용합니다. 담낭염은 담석, 감염, 알코올 소비 등이 원인이 될 수 있으며, 복부 CT를 통해 담낭염의 정도를 확인할 수 있습니다.
- 신장 결석: 복부 CT는 신장 내에 결석이 있는지 확인하는 데 유용합니다. 신장 결석은 신장 내에서 석회나 요산염이 축적되어 결석이 형성되는 질병으로, 복부 CT를 통해 결석의 크기와 위치를 파악할 수 있습니다.
- 대장암: 복부 CT는 대장암 진단에 중요한 역할을 합니다. 대장암은 장의 상피세포에서 암세포가 발생하는 질환으로, 복부 CT를 통해 대장암의 위치와 정도를 파악하여 치료 방법을 결정할 수 있습니다.
- 충수염: 복부 CT는 충수의 염증을 확인하는 데 유용합니다. 충수는 대장의 일부이며, 충수염은 충수의 염증으로 복부 CT를 통해 염증의 정도와 위치를 파악할 수 있습니다.
복부 CT는 진단에 대한 정확성이 높고 비침습적인 방법으로 장기나 혈관의 구조나 기능상의 이상을 파악할 수 있어, 내과, 외과, 신경과, 영상의학과, 방사선종양학과 등 다양한 분야에서 활용되고 있습니다.
복부 CT 검사 절차 및 비용



복부 CT 검사는 복부 내부의 구조와 기능을 파악하기 위한 영상진단 검사입니다. 일반적으로 복부 부위의 장기, 혈관, 신체 구조를 세밀하게 파악하기 위해 사용됩니다. 검사 전 환자는 금속물 제거 및 착용물 제거, 옷차림 제거 등을 해야하며, 임신 여부 및 알레르기 체질 등의 정보를 의료진에게 제공해야 합니다.
검사 과정은 대체로 10분에서 30분 정도 소요되며, 대부분의 경우 환자는 별다른 불편함을 느끼지 않습니다. CT 검사는 고속 X선 이미지를 이용하기 때문에 방사선을 조금이나마 받게 됩니다. 그러나 CT 검사의 방사선량은 일상 생활에서 받는 것과 비교하여 매우 적은 편입니다.
검사비용은 병원 및 검사 부위에 따라 다르며, 보험적용 여부도 다양합니다. 일반적으로는 건강보험이 일부 또는 전액 적용되며, 병원에 따라 차이가 있을 수 있습니다. CT 검사는 고가의 검사이기 때문에, 병원마다 할인 혜택 등의 다양한 서비스를 제공하기도 합니다. 따라서 병원에서 직접 문의하여 비용 및 할인 혜택 등에 대한 정보를 파악하는 것이 좋습니다.
보통 일반적인 복부 CT 비용은 평균 10~12만원 수준 선입니다.
복부 CT 주의사항


복부 CT는 안전하고 비침습적인 검사입니다. 그러나 몇 가지 주의사항이 있습니다.
- 방사선 노출: CT는 X선을 사용하여 이미지를 생성합니다. 따라서 노출 시간이 길수록 방사선 노출량이 많아집니다. 그러나 현대적인 CT 기술은 방사선 노출량을 최소화하도록 설계되어 있습니다.
- 알레르기 반응: CT 검사 시 사용되는 조영제에 대한 알레르기 반응이 발생할 수 있습니다. 알레르기 반응은 흔하지 않지만, 사용 전 의료진에게 가능성이 있는지 여부를 알리는 것이 중요합니다.
- 임신: 임신 중인 여성은 가능한 경우 복부 CT를 피해야 합니다. 방사선은 태아에 유해할 수 있습니다. 따라서 임신 여부를 의료진에게 알리는 것이 중요합니다.
복부 CT 검사 비용은 병원이나 지역에 따라 다르며, 보험으로부터 일부 혹은 전액이 보상될 수 있습니다. 검사 절차는 복부 CT를 받을 환자가 침대에 눕은 채 CT 스캐너가 환자 주위를 회전하여 이미지를 촬영합니다. 스캐너는 작은 공간을 사용하므로 폐소각증이 있거나 불안감이 있는 환자는 미리 약물을 복용하여 진행할 수 있습니다. 검사 시 조영제를 사용하여 몸 속의 혈관을 더 잘 보이도록 하는 경우가 많습니다.
이상으로 복부ct로 알 수 있는 질병 및 복부 CT에 관한 전반적인 내용 알아보았으며 아래는 다른 정보 함께 두었으니 참고 하시길 바랍니다.